
Defining the Cause of Epilepsy
Any brain could develop epilepsy, however, some persons are more susceptible than others. Why is that? Each person has a different threshold for seizures (as described in previous parts of this book) and when we add something that could damage the brain that threshold could be reached and seizures start happening. All different causes would act in a similar way. They would damage the brain, lowering the seizure threshold even more to the point that the seizures would be triggered.
The most common question doctors hear is: Why did I develop epilepsy? Why me?
And many times we really do not the answer. As technology improves (better definition with newer MRIs) and scientific knowledge moves forward we are understanding more and more why some persons develop epilepsy. However, there are still many times we do not know the answer. Approximately half of the times we have no explanation why someone develops epilepsy.
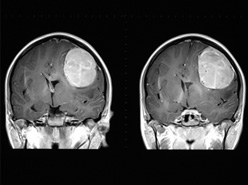
What test do we use to find the cause of the epilepsy?
• Family history (to see whether there is a genetic component)
• Blood work
• Imaging: CT or MRI of the brain
• Video-EEG (some EEG patterns are very characteristic of some types of epilepsy)
Why is important to know why?
• Some causes, such as a brain tumor, could be treated
• If we are considering epilepsy surgery, knowing the location of a lesion could help with the surgical planning
• If there is an hereditary component many times patients want to know if their children may also have epilepsy
What are the main causes of epilepsy? (clik HERE)